Home/Hängen neurologische Symptome mit einer SARS-CoV-2-Infektion des Gehirns zusammen?
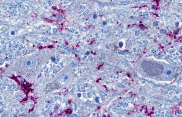
imageAusschnitt aus dem Hirnstamm: Nervenzellen (graublau) stehen eng mit hirneigenen Immunzellen (lila) in Kontakt. Die blauen fadenförmigen Strukturen sind Fortsätze der Nervenzellen, die als Nervenfasern bis in weit entfernte Organe hineinreichen können. Der Studie zufolge können die Immunzellen und die Nervenzellen im Hirnstamm über die Nervenfasern durch die Entzündung in der Lunge direkt aktiviert werden. © Charité, Jenny Meinhardt

Hängen neurologische Symptome mit einer SARS-CoV-2-Infektion des Gehirns zusammen?

Noch immer ist nicht abschliessend geklärt, wie neurologische Symptome bei COVID-19 zustande kommen. Liegt es daran, dass SARS-CoV-2 das Gehirn infiziert? Oder sind die Beschwerden eine Folge der Entzündung im Rest des Körpers? Eine Studie der Charité – Universitätsmedizin Berlin liefert jetzt Belege für eine der beiden Theorien.

Charité 20.2.20242"
Kopfschmerzen, Gedächtnisprobleme oder Fatigue sind nur einige der neurologischen Beeinträchtigungen, die während einer Corona-Infektion auftreten und auch darüber hinaus andauern können.
  • Forscher vermuteten schon früh in der Pandemie, dass eine direkte Infektion des Gehirns die Ursache dafür sein könnte. «Auch wir sind von dieser These zunächst ausgegangen. Einen eindeutigen Beleg dafür, dass das Coronavirus im Gehirn überdauern oder sich gar vermehren kann, gibt es allerdings bislang nicht», erklärt Dr. Helena Radbruch, Leiterin der Arbeitsgruppe Chronische Neuroinflammation am Institut für Neuropathologie der Charité. «Dazu wäre zum Beispiel ein Nachweis intakter Viruspartikel im Gehirn nötig. Die Hinweise, dass das Coronavirus das Gehirn befallen könnte, stammen stattdessen aus indirekten Testverfahren und sind deshalb nicht ganz stichhaltig.»
  • Einer zweiten These zufolge wären die neurologischen Symptome stattdessen eine Art Nebenwirkung der starken Immunreaktion, mit der der Körper sich gegen das Virus wehrt. Vergangene Studien hatten auch hierfür Anhaltspunkte geliefert.
Eine aktuelle Studie der Charité untermauert nun diese zweite Theorie mit umfassenden molekularbiologischen und anatomischen Ergebnissen aus Autopsie-Untersuchungen.

Keine Anzeichen einer direkten Virusinfektion des Gehirns
Für die Studie analysierte das Forschungsteam verschiedene Bereiche des Gehirns von 21 Menschen, die aufgrund einer schweren Corona-Infektion im Krankenhaus verstorben waren. Zum Vergleich zog es 9 Patienten heran, die nach intensivmedizinischer Behandlung anderen Erkrankungen erlegen waren. Die Forscher prüften zunächst, ob das Gewebe sichtbare Veränderungen aufwies, und fahndeten nach Hinweisen auf das Coronavirus. Dann ermittelten sie durch die detaillierte Analyse von Genen und Proteinen, welche Vorgänge in einzelnen Zellen vonstattengingen.

Wie andere Forschungsteams auch konnten die Charité-Wissenschaftler in einigen Fällen das Erbgut des Coronavirus im Gehirn nachweisen. «SARS-CoV-2-infizierte Nervenzellen haben wir jedoch nicht gefunden», betont Helena Radbruch. «Wir gehen davon aus, dass Immunzellen das Virus im Körper aufgenommen haben und dann ins Gehirn gewandert sind. Sie tragen noch immer Virus in sich, es infiziert aber keine Gehirnzellen. Das Coronavirus hat also andere Zellen des Körpers, nicht aber das Gehirn befallen.»

Gehirn reagiert auf Entzündung im Körper
Dennoch beobachteten die Forscher, dass bei den COVID-19-Patienten die molekularen Vorgänge in manchen Zellen des Gehirns auffällig verändert waren:
  • Die Zellen fuhren beispielsweise den Interferon-Signalweg hoch, der typischerweise im Zuge einer viralen Infektion aktiviert wird.
  • «Einige Nervenzellen reagieren offenbar auf die Entzündung im Rest des Körpers», sagt Prof. Christian Conrad, Leiter der Arbeitsgruppe Intelligent Imaging am Berlin Institute of Health in der Charité (BIH). Zusammen mit Helena Radbruch hat er die Studie geleitet.
«Diese molekulare Reaktion könnte die neurologischen Beschwerden von COVID-19-Betroffenen gut erklären. Zum Beispiel können Botenstoffe, die diese Zellen im Hirnstamm ausschütten, Fatigue verursachen. Denn im Hirnstamm liegen Zellgruppen, die Antrieb, Motivation und Stimmungslage steuern.»

Reaktive Nervenzellen im Vagusnerv
Die reaktiven Nervenzellen fanden sich hauptsächlich in den Kernen des Vagusnervs, also Nervenzellen, die im Hirnstamm sitzen und deren Fortsätze bis in Organe wie Lunge, Darm und Herz reichen. «Vereinfacht interpretieren wir unsere Daten so, dass der Vagusnerv die Entzündungsreaktion in unterschiedlichen Organen des Körpers ‚spürt‘ und darauf im Hirnstamm reagiert – ganz ohne eine echte Infektion von Hirngewebe», resümiert Helena Radbruch. «Auf diese Weise überträgt sich die Entzündung gewissermassen aus dem Körper ins Gehirn, was dessen Funktion stören kann.»

Zeitlich begrenzte Reaktion
Die Nervenzellen reagieren dabei nur vorübergehend auf die Entzündung, wie ein Vergleich von Menschen zeigte, die entweder während der akuten Corona-Infektion oder erst mindestens zwei Wochen danach verstorben waren. Am stärksten ausgeprägt während der akuten Erkrankung, normalisierten sich die molekularen Veränderungen anschliessend wieder – jedenfalls in den allermeisten Fällen.

«Wir halten es für möglich, dass eine Chronifizierung der Entzündung bei manchen Menschen für die oft beobachteten neurologischen Symptome bei Long COVID verantwortlich sein könnte», sagt Christian Conrad. Um dieser Vermutung weiter nachzugehen, plant das Forschungsteam nun, die molekularen Signaturen im Hirnwasser von Long-COVID-Patient:innen genauer zu untersuchen.PS

Infos zur Studie Voraussetzung für die Studie war die explizite Einwilligung der Patienten oder der Angehörigen, für die sich die Forschungsgruppe ausdrücklich bedankt. Die Arbeit ist im Rahmen des Nationalen Obduktionsnetzwerks (NATON) entstanden, einer Forschungsinfrastruktur des vom Bundesministerium für Bildung und Forschung (BMBF) geförderten Netzwerks Universitätsmedizin (NUM). Das NUM wurde initiiert und wird koordiniert von der Charité und vereint die Kräfte der 36 Universitätskliniken in Deutschland.


Quelle: Charité Universitätsmedizin Berlin, Pressemitteilung vom 16.02.2024

just-medical!
Blegistrasse 5
6340 Baar
Schweiz

www.just-medical.com

Kontakt
info@docinside.ch
+41 41 766 11 55
Redaktionelle Leitung:
Dr. phil. des. Sarah Bourdely
sarah.bourdely@medinside.ch